- Overview
- Background
- Problems Start
- A&E - The Start of the Journey
- Off to Orthopaedics
- VRRRRR-VRRRR-VRRRR, CLICK-CLICK-CLICK, BUZZZZZZZ (MRI Scan)
- Join The Queue
- Cancelled Surgery Date
- Surgery Day
- Recovery Period
- Now
Overview
First of all, this isn’t medical advice. And I am definitely not smart enough to be a doctor (Nor do I have the A-Levels) Please use this as a bit of a guide through my journey. Whilst I can’t speak for everyone, this is my experience and I hope it helps you in some way.
All MRI + X-Ray images you see below are my own and have been requested from the hospital. Of course, all personal information has been removed from them.
Background
I’ve always had a weird left knee. Starting from around the age of 9, I could tell when playing football that it would sort of move a bit too much. Not enough to completely dislocate but enough to cause some discomfort. However, being a child, I didn’t really care. Even during high school, I took a bad tackle to the knee and felt it “move” but again thought nothing of it.
Fast forward to 2019/2020 when playing five-a-side, it started to move more than usual. But once again, it wasn’t causing any problems so I did not seek medical advice.
Problems Start
-
First Subluxation
In 2021, I was at a wedding where the first subluxation occurred. I was dancing (Under the influence of the strongest drink known to man - Bud Light) and my knee just gave up. The best way to describe it, my body moved right but the knee cap moved left. The pain was instant. Excruciating. The swelling and pain stayed for around 2 weeks before it started to subside. I did see a doctor who said everything structurally was fine and it was likely a one-off. Plenty of rest, ice and naproxen helped (And rotted my stomach lining but that’s a different story)
-
Second Subluxation
Still in 2021, Christmas party. I was dancing again (This time a bit more sober) and the same thing happened. Suprisingly, the pain wasn’t as bad as the first time. It still hurt but I could walk on it. This time though was the start of the realisation that something was wrong. Throughout the end of 2021 and 2022, I was more careful on it knowing that it could happen again and avoiding certain movements.
-
Third Subluxation
July 2023. After giving my knee a lot of rest and avoiding certain movements, I was in Manchester and went to run to catch up with someone. The only way I can describe it is my leg extended, my knee felt like it had more movement, it moved and I put all weight on it. All in the matter of a second. I dropped to the floor like a sack of crap and the pain was unbearable. My manager put me in a taxi back to the hotel and I spent the night in agony. Waking up was even worse - The knee had swollen up triple its size; full weight bearing was impossible and the pain was the worst I’ve ever felt. Something was wrong. Following my gut, I called a close friend, and got karted off to A&E.
A&E - The Start of the Journey
Before I start, I just want to say that the staff who work in the NHS are absolutely amazing. It’s a shame the system is a political warzone. I believe as long as you’re polite and respectful, they will do everything they can to help you. Make sure to push for what you think is right. I had a lot of gut feelings throughout this process and I’m glad I listened to them.
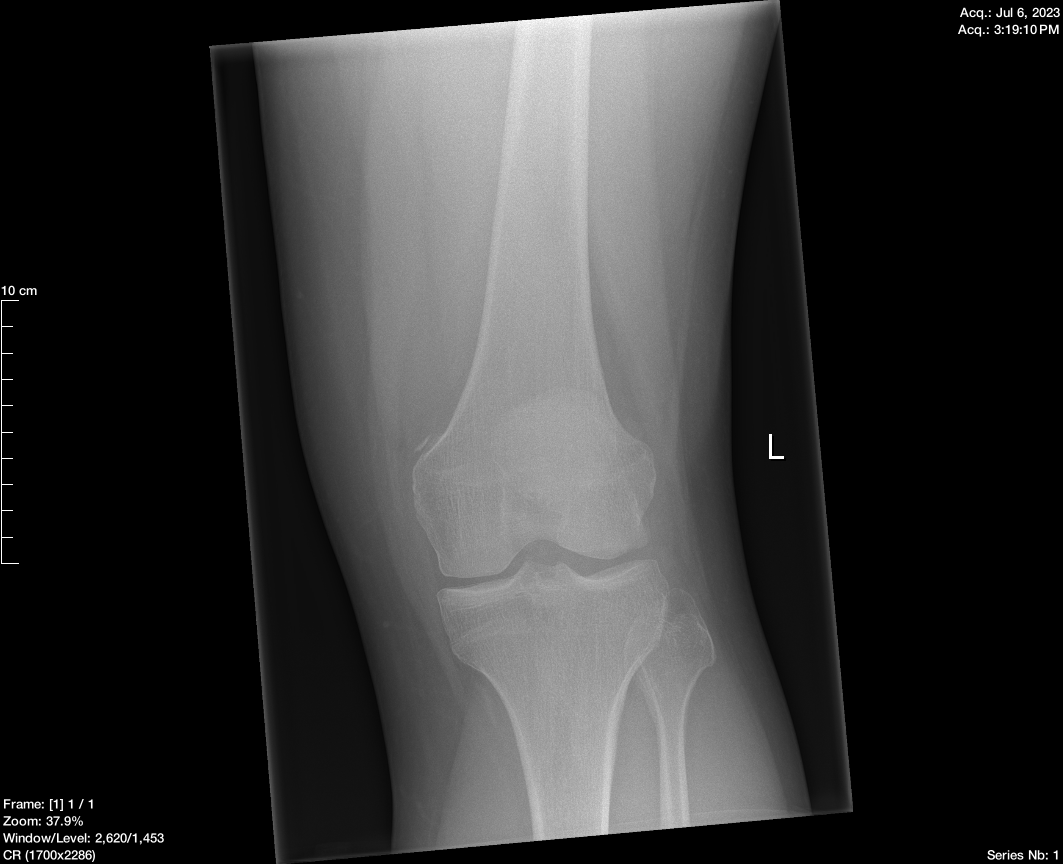
Manchester Royal Infirmary A&E. After explaining to triage, I was sent to the fracture clinic for an X-Ray.
Sagittal

Coronal

The report from the radiologist was that everything looked fine apart from a small piece of bone that had chipped off.
- Fracture/Dislocation: No acute fracture or dislocation identified.
- Joint Effusion: Moderate effusion in the suprapatellar bursa.
- Lipohaemarthrosis: Not present.
- Pellegrini-Stieda Lesion: Ossification at the proximal medial aspect of the medial femoral condyle, likely due to a previous avulsion fracture or ligamentous injury.
- Additional Density: Seen in the posterior femorotibial joint on the HBL view but not on AP view.
- Nature of Density: Unclear if degenerative or an old avulsion injury; not appearing acute.
At this point, I was a bit gutted they hadn’t found anything because I knew something was wrong. Because of clinical presentation, the doctor referred me to the orthopaedic department for further investigation.
Off to Orthopaedics
After a few weeks on crutches, painkillers and only just being able to walk, I was seen by an orthopaedic consultant at the hospital. He ordered an MRI scan as my symptoms (In all honesty, probably poorly described by me) didn’t fit a single diagnosis.
VRRRRR-VRRRR-VRRRR, CLICK-CLICK-CLICK, BUZZZZZZZ (MRI Scan)
I had my MRI done at a separate clinic and results went back to the consultant. Answers finally came and my hunch was right all this time.
Coronal - LT PD/SPAIR
Sagittal - LT PD/SPAIR
Axial - LT PD/SPAIR
Sagittal - LT T1 TSE
MRI Findings
- Joint Effusion: Small effusion in the knee joint and a small Baker’s cyst.
- Bone Bruising
- Medial patella.
- Lateral femoral condyle (suggesting recent patellar dislocation).
- Osteochondral Injury: Mild injury in the lateral femoral condyle.
- Patella & Trochlea:
- Patella alta.
- Type B trochlear dysplasia.
- TTTG distance: 20 mm, indicating lateralized tibial tuberosity.
- Ligaments:
- Mild MPFL sprain.
- Cruciate & collateral ligaments: Normal.
- Meniscus:
- Medial meniscus: Subtle tear in the posterior horn.
- Lateral meniscus: No tear detected.
- Cartilage:
- Mild chondral irregularity in the medial facet of the retropatellar cartilage.
Hallelujah - Sometimes you often think are you overreacting or is this actually as big of a deal as you think. I was relieved to have an answer. My knee hasn’t dislocated completely (That would have been obvious) but it’s been subluxating.
Join The Queue
In a later appointment, the consultant and I discussed a plan of action. Whilst physiotherapy was an option, the consultant said that due to the nature of the injury, it was likely that surgery would be the best option to stabilise the knee.
Originally, it was decided that the surgery would consist of two procedures. The first being a tibial tubercle osteotomy (TTO) to correct the TTTG distance and the second being the MPFL reconstruction. This changed however on surgery day as you’ll see later.
I joined the waiting list for surgery in November 2023.
Cancelled Surgery Date
I was offered a date in January 2024 for the surgery. Unfortunately, it was cancelled due to the clinical priority of another patient which is fustrating but understandable. Back on the list…
Surgery Day
The day finally came on the 16th of May 2023.
The surgeon spoke to me before the surgery and explained that after reviewing the MRI, he felt that the TTO might not be necessary as the TTTG distance was borderline and would depend on his findings of the arthroscopy.
Down the theatre I went. Under general anatheistic and that was the last I remember. After a barage of antibiotics, morphine, fluids, and a lot of poking and prodding, I woke up in recovery.
Overall I was put under at 9:11 and woke up at 12:48.
The surgeon opted to not do the TTO and instead just performed the MPFL reconstruction using hamstring autograft. I was pretty happy about this as it meant less recovery time and also meant that I could start bearing weight on the leg sooner.
Discharged the same day, I was sent home with a knee brace and crutches.
Recovery Period
I’ll bullet point these as it’s easier to read:
- First few weeks
- Pain management
- Small physio exercises
- Weight bearing as tolerated (I was able to walk on it straight away with crutch support)
- Few sleepless nights
- Plenty of orange juice (Mitigates the side effects from the painkillers. I won’t say any more)
- I’d recommend a plastic leg cover for the shower. It’s a life saver. I can’t not shower for even a day.
- 2-4 weeks
- More physio exercises
- Stables removed
- Moved onto a hinged brace
- Crutches only when needed
- Shower without the cover
- 4-12 weeks
- Plenty more physio. This is the most important part of the recovery.
- No crutches
- Removal of braces at end of week 10
- Driving again (At this point, we did switch to an automatic car)
- 12 weeks onwards
- Discharged from the consultant after a final checkup in October
- Discharged from physio after a final checkup in October
- Back to normal life
- Still doing physio exercises at home
Now
I don’t regret the surgery at all. I can walk in slippery conditions without fear of my knee giving way. I can walk my dog with ease. Stairs are no longer a problem. I can even run a little bit.
As far as I’m aware, I’m all fixed and happy. The only problem I have with it is slight stiffness in the knee after a really heavy day of using it but that’s to be expected and I’m sure it will improve over time with physio.
This is a poor article but I hope it helps someone. If you have any questions, feel free to ask.